Young patient presenting with incidentally detected right-side renal tumor on sonography.
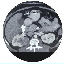
Diagnostic Findings
CT scan revealed an aggressive tumor extending toward the hilum, (The neck of the kidney where blood supply enters.)
Tumor close to the hilum, posed challenges for its removal while preserving the healthy part of the kidney.
Treatment Decision
Removal of the entire kidney nephrectomy was suggested by other hospitals in Navi Mumbai.
The medical team proposed a different approach, advocating for a partial nephrectomy to preserve kidney function.
The patient agreed to this treatment plan.
Procedure and Outcome
Partial nephrectomy was performed successfully, removing only the tumor and preserving the healthy kidney tissue.
Pre-surgery and post-surgery creatinine levels remained stable at 0.9, indicating no renal function impairment.
The patient achieved tumor cure while maintaining renal function.
The procedure aimed to provide the patient with a good quality of life and minimize the risk of future renal failure.

Diagnostic Findings

Treatment Decision
